|
DOI: |
|||
|
|
|||
Short Survey
Behavioral and cognitive changes in a patient with leukoencephalopathy due to lymphomatosis cerebri
Santiago Crema1
M. Ricciardi2
Ismael L. Calandri3
.
How to cite this article:
Crema, S.; Ricciardi, M. & Calandri, I. (2021). Behavioral and cognitive changes in a patient with leukoencephalopathy due to lymphomatosis cerebri. Journal of Applied Cognitive Neuroscience, 2(2), e00193642.
https://doi.org/10.17981/JACN.2.2.2021.01
.
Manuscript received on 30th April 2021
Accepted on 31th August 2021
.
A 59 years old female with a prior history of facial hemangioma, with a three-month progressive cognitive impairment combined with abulia, unmotivated crying, non-fluent language, limb paratonia, bilateral Hoffman, palmomental reflex, and apraxic gait.
Neurocognitive bedside assessment showed marked dysprosexia, difficulties on pantomime, and inability to perform Luria’s test. Montreal Cognitive Assessment (MoCA) score was performed, with a final score of 15/30, showing marked alterations in visuospatial/executive and attentional abilities.
Figure 1 and Figure 2 showed the results of a brain MRI performed at admission, revealing an extensive lesion that involved the periventricular, subcortical and deep white matter.
Multivoxel spectroscopy showed an increase in Choline and NAA decrease.
On workup: a specific lab for viral infections, syphilis, HIV, LDH, and CEA was normal. Also, CSF was normal and CSF cytology and flow cytometry were negative. Cerebral digital angiography was carried out to rule out a relationship between the patient’s congenital facial hemangioma and her leukoencephalopathy. Neither signs suggestive of an arterio-venous fistula or abnormal anastomosis were found.
A neuronavigation-directed biopsy of the brain parenchyma was performed at the right frontotemporal level, with the inclusion of a sample of meningeal tissue. A result consistent with B-cell non-Hodgkin lymphoma was subsequently obtained, with the final diagnosis of lymphomatosis cerebri.
A biopsy determined that the lesion was a B-cell non-Hodgkin lymphoma (CD20 +). Due to its extension, a final diagnosis of lymphomatosis cerebri was made. No primary lesion was found.
Despite treatment with a high-dose methotrexate chemotherapy regimen, the patient’s outcome was poor, eventually dying after four months of hospitalization, due to infectious complications.
Discussion
Primary Central Nervous System Lymphoma (PCNSL) is a rare entity, accounting for 1%-3% of the primary tumors of CNS, that usually presents as a unique or multiple contrast-enhancing brain mass. Lymphomatosis Cerebri (LC) is an even rarer presentation of this disease, with an unknown incidence. It is characterized by a diffuse infiltrative lesion of the CNS white matter along the corticospinal tract (Gerstner & Batchelor, 2010; Grommes & DeAngelis, 2017).
As what happened in our case, LC usually presents as a clinical picture of a rapidly progressing dementia in a previously functional patient, accompanied by the finding of an extensive leukoencephalopathy on MRI of the brain.
Neuroradiological features often show an extensive compromise of the white matter with a slight mass effect at both supratentorial and infratentorial levels, in some cases spreading along the corticospinal tract and/or compromising gray matter.
As a major difference with PCNSL, LC lesions show poor contrast-enhancement, often presenting as ill-defined nodular, periventricular / periependymal enhancement, as what happened in our case (Kitai et al, 2012).
These MRI findings are nonspecific and can be easily misdiagnosed as being related to several other conditions such as toxic-metabolic disorders, inflammatory diseases (Acute disseminated encephalomyelitis, neuromyelitis optica spectrum disorders), infectious processes (Progressive multifocal leukoencephalopathy, viral meningoencephalitis), small vessel vasculopathy (Binswanger disease) and other neoplastic disorders (Gliomatosis cerebri) (Li, Rong & Feng, 2018; Izquierdo et al, 2016).
Although infrequent, dural arteriovenous fistulas may present as rapidly progressive dementia associated with the finding of a diffuse white matter lesion (Waragai, Takeuchi, Fukushima, Haisa & Yonemitsu, 2006). The history of facial hemangioma led to angiography to exclude this possibility in our patient.
Diagnosis usually derives from a brain parenchyma biopsy; most cases of LC present a histopathological analysis compatible with type B non-Hodgkin’s lymphoma, as in our patient (Bataille et al., 2000).
Treatment options for PCNSL include high-dose methotrexate chemotherapy regimens, with the addition of an anti-CD20 monoclonal antibody (rituximab). 10%-15% of patients present no response (Schaff & Grommes, 2018).
|
|
|
|
|
|
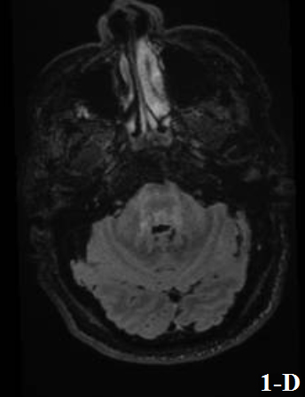
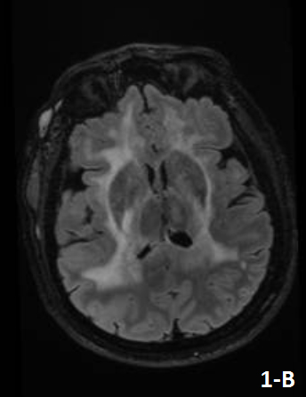
Figure 1. Fluid Attenuated Inversion Recovery (FLAIR) sequence showed an extensive lesion affecting primarily the subcortical and deep white matter at frontal (a), parieto-insular and callosal (b) and temporal levels (c).
.
A diffuse hyperintensity was also observed at infratentorial levels, affecting primarily the midbrain (d). At the level of the right temporal epicranial soft tissue region, a lesion with heterogeneous signal and multiple dilated vascular structures were found, in relation to the patient’s prior history of congenital facial hemangioma.
|
|
|
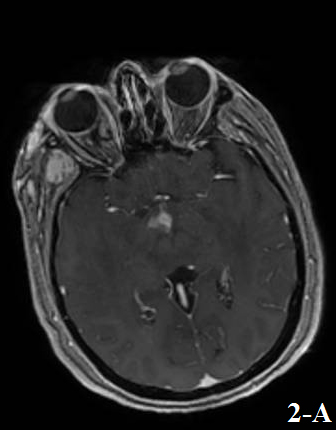
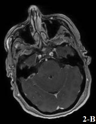
Figure 2. Post-gadolinium enhancement with a nodular pattern found at the level of hypothalamic area (a) and at a periventricular / periependymal level (b).
.
References
Bataille, B.; Delwail, V.; Menet, E.; Vandermarcq, P.; Ingrand, P.; Wager, M.; Guy, G. & Lapierre, F. (2000). Primary intracerebral malignant lymphoma: report of 248 cases. Journal of Neurosurgery, 92(2), 261–266.
https://doi.org/10.3171/jns.2000.92.2.0261
Gerstner, E. R. & Batchelor, T. T. (2010). Primary central nervous system lymphoma. Archives of Neurology, 67(3), 291–297.
https://doi.org/10.1001/archneurol.2010.3
Grommes, C. & DeAngelis, L. M. (2017). Primary CNS Lymphoma. Journal of Clinical Oncology, 35(21), 2410–2418.
https://doi.org/10.1200/JCO.2017.72.7602
Izquierdo, C.; Velasco, R.; Vidal, N.; Sánchez, J. J.; Argyriou, A. A.; Besora, S.; Graus, F. & Bruna, J. (2016). Lymphomatosis cerebri: a rare form of primary central nervous system lymphoma. Analysis of 7 cases and systematic review of the literature. Neuro-Oncology, 18(5), 707–715.
https://doi.org/10.1093/neuonc/nov197
Kitai, R.; Hashimoto, N.; Yamate, K.; Ikawa, M.; Yoneda, M.; Nakajima, T.; Arishima, H.; Takeuchi, H.; Sato, K. & Kikuta, K.-I. (2012). Lymphomatosis cerebri: clinical characteristics, neuroimaging, and pathological findings. Brain Tumor Pathology, 29(1), 47–53.
https://doi.org/10.1007/s10014-011-0064-y
Li, L.; Rong, J.-H. & Feng, J. (2018). Neuroradiological features of lymphomatosis cerebri: A systematic review of the English literature with a new case report. Oncology Letters, 16(2), 1463–1474.
https://doi.org/10.3892/ol.2018.8839
Schaff, L. R. & Grommes, C. (2018). Updates on Primary Central Nervous System Lymphoma. Current Oncology Reports, 20(2), 1–10.
https://doi.org/10.1007/s11912-018-0666-1
Waragai, M.; Takeuchi, H.; Fukushima, T.; Haisa, T. & Yonemitsu, T. (2006). MRI and SPECT studies of dural arteriovenous fistulas presenting as pure progressive dementia with leukoencephalopathy: a cause of treatable dementia. European Journal of Neurology, 13(7), 754–759.
https://doi.org/10.1111/j.1468-1331.2006.01318.x
1 Neurology Department, FLENI, Buenos Aires, Argentina.
Contact mail: screma@fleni.org.ar
ORDCID ID: https://orcid.org/0000-0003-0200-5086
2 Neurology Department, FLENI, Buenos Aires, Argentina.
3 Department of Cognitive Neurology, Neuropsychiatry and Neuropsychology, FLENI, Buenos Aires, Argentina.
ORDCID ID: https://orcid.org/0000-0002-6983-1430
.
JACN vol. 2 no. 2, e00193642. July - December, 2021
Barranquilla. ISSN 2745-0031
.